At Corsa Orthodontics, we are committed to providing the most advanced and effective dental solutions, tailored to meet the unique needs of each patient. Our maxillary skeletal expansion (MSE) treatment exemplifies this commitment, offering a groundbreaking approach to addressing orthodontic and structural challenges associated with a narrow upper jaw.
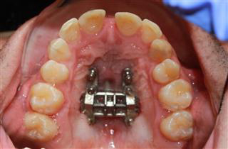
MSE treatment targets patients who are experiencing dental crowding, crossbites or breathing difficulties due to an underdeveloped maxillary arch. The procedure utilizes a specially designed device that is placed in the roof of the mouth. This device gently expands the maxillary bone over time, which is essential for promoting proper alignment and function of the jaw and teeth.
MSE treatment begins with the installation of a custom-designed expander that fits securely against the upper palate. Over the course of the treatment, this device is carefully adjusted to gradually widen the upper jaw. Throughout this period, our orthodontist and team will ensure that the process is comfortable and effective through regular monitoring and adjustments at our office.

Rapid Palatal Expansion.

Rapid Palatal Expansion.
Benefits of Maxillary Skeletal Expansion Treatment:
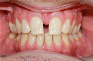
- Enhances facial aesthetics and symmetry.
- Improves breathing by opening nasal passages, potentially alleviating sleep-related issues.
- Creates more space in the dental arch, reducing the need for tooth extractions.
- Corrects crossbites and improves overall dental alignment.
Discover the transformative potential of maxillary skeletal expansion treatment in San Jose, California. Contact us today at 408-997-7772 to schedule your consultation with Dr. Christopher Corsa and take the first step towards a healthier, more beautiful smile.
